
POINTING OUT ABNORMALITIES IN BREAST MAMMOGRAPHY
AIRA's focus is on supporting mammographers with fast, accurate, and confident interpretation of digital mammograms through their prospective mammography solution, AIRA Breast. This system utilizes both 2D mammography data like FFDM and 3D Breast Tomosynthesis to classify breast tissue composition and identify suspicious lesions, including calcifications. Using advanced machine learning, AIRA Breast automatically categorizes scan images into four tissue composition types, aiming to reduce false negatives prevalent in other CAD solutions on the market.

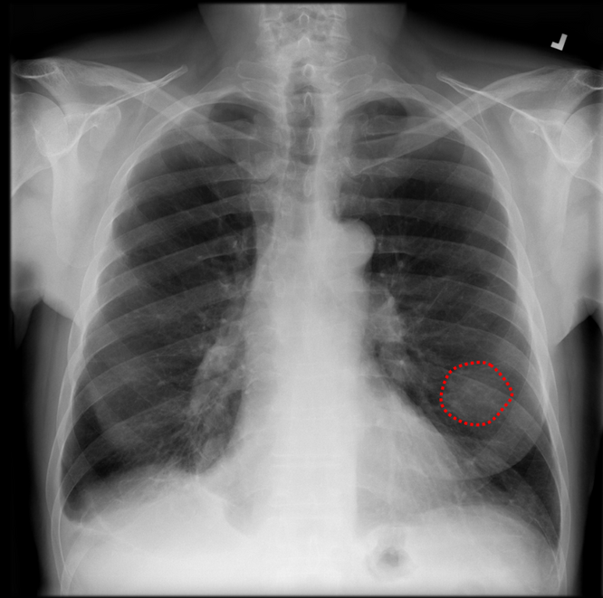
DEFINING MAJOR ABNORMALITIES IN CHEST XRAY
AIRA Chest, a computer-aided diagnosis software to assist radiologists in accurately detecting lung masses, cardiomegaly, consolidation, and pneumothorax. This AI-powered solution generates tumor locations as region of interest or heatmaps, along with an abnormality severity score indicating the probability of abnormality. Designed for use as a second opinion tool in the initial interpretation process by physicians, AIRA Chest aims to boost confidence and reduce false negatives (Type II Error) associated with AI solutions. AIRA's goal is to facilitate validated diagnoses, prevent missed cases, and enable trainee radiologists to perform at a specialist level in detecting chest abnormalities.



Quantifying Coronary Tree and highlighting Stenotic Segments
Work on this module is still in progress
About Us
Welcome to AIRA, where cutting-edge AI meets compassionate care. Based in the vibrant heart of Cairo, Egypt, we are a dynamic team of AI experts, engineers, computer scientists, and medical imaging specialists. Our passion lies in revolutionizing radiology through innovation and empathy.
At AIRA, we strive to empower physicians globally with cutting-edge AI tools for precise diagnoses and personalized treatment plans. Our mission is to serve as the trusted second eye, revolutionizing radiology with innovative solutions that elevate patient outcomes and reshape medical decision-making globally.
Our Goals
Aira strives to utilize artificial intelligence algorithms to the benefit of the patient by empowering radiologists diagnosis with an automated second-eye opinion and optimize their work efficiency.
REDUCE WRONG DIAGNOSIS
Radiologist can validate his findings versus automatic classification and abnormality detection as second-eye rate
BOOST RADIOLOGIST PRODUCTIVITY
AI-powered prioritization of the scans worklist; TRIAGE; helps radiologist to focus on high risk patients
DISEASE PROGRESSION REDUCTION
By boosting radiologist productivity, more patients can be analyzed per day and risk of disease progression due to long waiting lists can be reduced


AIRA not just redefining radiology; we're illuminating a new era of healthcare excellence
7-Z Mubarak Street, Taksim Asmaa Fahmy,Ard ElGolf,
Cairo Governorate,
Egypt.